Affordable, Fast, and High-Quality Aesthetic Ceramic Treatment & Orthodontics | Royal Dental Clinic Yoyogi & Shibuya

Appointments & Inquiries 0120-80-4695

〒151-0053 3rd Floor, Yamano 25 Building, 1-21-12 Yoyogi, Shibuya-ku, Tokyo

Key Benefits of Our Clinic’s Treatments

  • Completed in 2–3 Visits
  • Over 50,000 Successful Cases
  • 10-Month Installment Payments Available

INFORMATION

image
  • 3 Minute Walk From Yoyogi Station
  • 5 Minute Walk From Minami-Shinjuku Station and Kita-Sando Station
  • Flexible Payment Options
PRICE

Transparent Pricing: What You Expect is What You Pay

We believe in providing a stress-free experience through clear, upfront pricing with no hidden fees. At our clinic, the price we quote is the final cost, ensuring full transparency. Whether it’s a cosmetic enhancement or a more complex treatment, we give you all the details upfront to help you make an informed decision. Here’s a breakdown of our key treatment options, designed to offer high-quality care at fair prices:

Ceramic Treatments

Clear Aligners

Dental Implant

Adhesive Bridges

NEED

Treatment Options Tailored to Your Needs

Our concept is to offer affordable treatments completed in the shortest time possible without compromising quality. Everything we do is focused on patient satisfaction. We provide a range of services, including aesthetic ceramic treatments, minimally invasive bridge and laminate veneer treatments, clear aligner orthodontics, and implant treatments with bone grafting.

Patients visit us from areas like Shinjuku, Shibuya, Ikebukuro, Yoyogi, and Kita-Sando, as well as from Chiba, Tochigi, Kanagawa, and Saitama, through word-of-mouth recommendations.

LINE UP

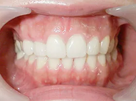
Smile Makeover with Ceramic Crowns ESTHETIC

image

¥62,700 (tax included) per tooth

Quickly transforms your smile by improving tooth shape, colour, and alignment with ceramic crowns.

  • Why Choose a Ceramic Smile Makeover?
  • Completed in just 2–3 visits
  • Customised to improve your smile’s overall appearance
  • before
  • after

188,100 yen (tax included). This is a case where ceramic crowns were used to align the teeth. Please note that there is a risk of breakage if subjected to extremely strong forces.

  • before
  • after

"125,400 yen (tax included). This is a case where ceramics were used to adjust the color and shape of the teeth. Please note that there is a risk of breakage if subjected to extremely strong forces."

LAMINATE Non-Prep Laminate Veneers

image

¥53,900 (tax included) per tooth

An ideal solution for improving the shape and colour of your teeth without damaging the natural structure. 

  • Why Choose Non-Prep Veneers?
  • Preserves your natural tooth structure
  • Quick and minimally invasive procedure
  • Reversible and safe for future adjustments
  • before
  • after

Case 1: ¥247,500 (tax included)
Improved tooth shape and colour with laminate veneers. There is a risk of fracture if exposed to excessive force.

  • before
  • after

Case 2: ¥297,000 (tax included)
Corrected tooth colour and shape using laminate veneers. Extreme force can increase the risk of breakage.

Minimally Invasive Adhesive Bridge Treatment BRIDGE

image

From ¥198,000 (tax included)

Ideal for those seeking an alternative to implants or dentures and a quick, reliable solution for missing teeth.

  • Benefits of Adhesive Bridges:
  • Quick treatment process
  • Preserves healthy surrounding teeth
  • Minimally invasive procedure
  • before
  • after

Case 1: Cost ¥198,000 (tax included)
Treated with an adhesive bridge. Note that detachment may occur if exposed to excessive force.

case

CORRECT Transparent and Discreet Clear Aligner Orthodontics

image

From ¥165,000 (tax included)

No extra fees for
extended treatment

Free Adjustment Fees

  • Why Choose Clear Aligners?
  • Fewer clinic visits required
  • Removable and easy to clean
  • Often avoid tooth extractions
  • before
  • after

Case 1: From ¥165,000 (tax included)
Alignment corrected with clear aligners. Consistent retainer use is essential to prevent relapse after treatment.

  • before
  • after

Case 2: Crowded Teeth (Malocclusion)
Treated successfully with clear aligners, achieving a straighter and more balanced smile.

Affordable Implant Treatment with Transparent Pricing IMPLANT

image

¥231,000 (tax included) per implant

Our implant pricing is clear and straightforward, with no hidden costs or unexpected fees.

  • What’s Included:
    Customised crown restoration
  • Customised crown restoration
  • 5-year guarantee for long-term peace of mind
  • before
  • after

Case 1: 3 Implants – ¥660,000 (tax included)
Regular maintenance after treatment is essential to prevent peri-implantitis and ensure lasting results.

  • before
  • after

Case 2: 2 Implants – ¥440,000 (tax included)
Post-treatment care and routine check-ups are crucial to minimise the risk of peri-implantitis.

FEATURE

6 Key Features

Why Trust Royal Dental Clinic Yoyogi

At Royal Dental Clinic Yoyogi, we are proud to offer services that consistently receive high praise and positive feedback from our patients. Our key services include pain-reduced treatments, clear explanations of costs and treatment duration before starting, accurate diagnostics with CT imaging, flexible payment options through dental loans and credit card instalments, over 40,000 successful cases, and on-site dental technician services for personalised restorations.

image
image
1

Advanced Pain Management

Our 3-step anaesthesia technique minimises discomfort, ensuring a more relaxed experience, even for anxious patients.

image
2

Transparent Costs and Timeline

We provide a detailed breakdown of costs and treatment duration before starting, addressing your concerns upfront.If you are unsure about advice from another clinic, book a consultation with us.

image
3

Experts in Ceramic Restorations

With over 50,000 successful cases, we provide high-quality ceramic treatments for quick and long-lasting aesthetic results.

image
4

Flexible Payment Options

  • We offer various payment plans, including credit cards and dental loans, making treatment affordable and accessible.
image
5

Accurate Diagnosis with CT Imaging

  • Our advanced CT imaging technology ensures precise diagnostics and improves the success of treatment.
image
6

On-Site Dental Technician Service

  • Our partner technician can collaborate with you at the clinic to ensure the ideal colour and shape for your restoration.

Free initial consultation

We begin by listening to your goals and offering multiple treatment options with materials tailored to your needs.

With so many treatment methods and materials available, it can be overwhelming to choose without guidance. At our clinic, we take the time to explain each option in detail, using real cases, models, and materials, so you can make a fully informed decision with confidence.

MESSAGE

Providing quality dental care demands experience, expertise, precision,
and an eye for aesthetics. But that’s just the foundation.

What truly sets great care apart is how well we connect with each patient,
understanding their goals and working with them to bring their ideal
outcome to life, driven by genuine passion.

Passion might seem like an overused word, but without it, real patient
satisfaction would be impossible.

If you have a vision for your ideal smile, no matter how big or small,
we’re here to listen, collaborate, and make it a reality.

Q & A

QA1

QA2

QA3

QA4

このページの先頭に戻る