| 経過写真 | インプラント治療の経過 |
|---|---|
|
向かって左下、奥から3番目の歯にインプラント希望の患者さんが来院しました。 |
|
早速インプラントの手術をしました。1時間ほどの手術です。一回で終了し、痛みも腫れもほとんどありません。 |
|
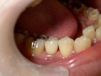
口の中の状態はこんな感じです。1週間後に抜糸のために来院してくだされば、あとは1ヶ月ほどインプラントが骨にくっつくのを待つだけです。当医院のインプラントは1回法だから手術は1回で終了します。 |
|
約一ヶ月後の状態です。もう骨に強固にくっつきました。歯茎の状態も問題ありません。上にかぶせるセラミックの歯型を取ります。 |
|
1週間後にセラミックの歯が出来上がってきました。「自然な歯」とまではいきませんが、まずまずの仕上がりです。 |
|
終了時のレントゲン写真です。治療期間一ヶ月半、来院回数4回で終了しました。あまりの治療期間の早さに患者さんもビックリされました。 |
ロイヤル歯科クリニック 代々木

◎ … 午後19:30まで
〇 … 午後18:00まで
× … 休診日
交通アクセス
JR山手線・都営大江戸線「代々木駅」.... 徒歩3分
小田急線「南新宿駅」.... 徒歩5分
東京メトロ副都心線「北参道駅」.... 徒歩5分
所在地
東京都 渋谷区 代々木
1-21-12 ヤマノ25ビル3階
