| 経過写真 | セラミッククラウン治療の経過 |
|---|---|
|
治療前 こちらの患者様の前歯は、いわゆる「すきっ歯」という状態でご来院されました。 |
|
治療前 口の中を確認すると、2つの前歯は大きく離れています。 |
|
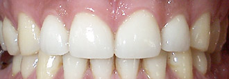
治療後 - 1枚目 オールセラミックで隙間のない歯に出来ました。どの歯も神経はとっていませんし、たった2回で終わりました。 |
|
治療後 - 2枚目 口の中を確認すると、あれ程離れていた前歯は綺麗に整いました。お顔全体の印象も良くなりました。 |
|
治療後 - 3枚目 アップで確認してみると、とても自然な仕上がりだと分かります。 |
ロイヤル歯科クリニック 代々木

◎ … 午後19:30まで
〇 … 午後18:00まで
× … 休診日
交通アクセス
JR山手線・都営大江戸線「代々木駅」.... 徒歩3分
小田急線「南新宿駅」.... 徒歩5分
東京メトロ副都心線「北参道駅」.... 徒歩5分
所在地
東京都 渋谷区 代々木
1-21-12 ヤマノ25ビル3階
